Ăn khuya vô tội vạ, người đàn ông 51 tuổi tử vong
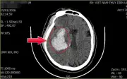
Ông Dương, 51 tuổi ở Trung Quốc, tử vong sau 3 ngày cấp cứu do thói quen ăn uống không khoa học như lẩu, thịt nướng, hải sản vào đêm khuya. Bác sĩ cảnh báo về nguy cơ từ đồ ăn nhiều đường, mặn, chất béo.


