Bệnh nhân nghi ung thư dạ dày, bất ngờ phát hiện giun lươn ký sinh trong ruột
Nghi ung thư dạ dày, hóa ra giun lươn ký sinh trong ruột

Bệnh nhân nghi ung thư dạ dày, bất ngờ phát hiện giun lươn ký sinh trong ruột

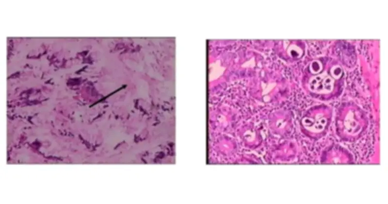
Thông qua quá trình nội soi, các bác sĩ đã quan sát thấy vùng hang vị dạ dày bị loét và có dấu hiệu nhiễm cứng, với hình ảnh lâm sàng rất giống với ung thư dạ dày. Tuy nhiên, kết quả bất ngờ chỉ được tiết lộ sau khi phân tích mẫu mô từ cuộc phẫu thuật. Bác sĩ Huỳnh Vĩnh An, đại diện từ Bệnh viện Nhân dân 115, cho biết khi soi dưới kính hiển vi, đội ngũ y tế đã xác định "thủ phạm" thực sự là giun lươn đang ký sinh trong niêm mạc ruột non, hoàn toàn không có sự hiện diện của tế bào ung thư như nghi ngờ ban đầu.

Giun lươn - kẻ xâm nhập âm thầm nguy hiểm

Theo giải thích của bác sĩ Vĩnh An, giun lươn thuộc nhóm giun tròn với khả năng tự nhân lên ngay bên trong cơ thể người thông qua cơ chế tự nhiễm. Loại ký sinh trùng này có thể tồn tại âm thầm trong cơ thể suốt hàng chục năm mà không biểu hiện triệu chứng rõ rệt. Tuy nhiên, khi người bệnh gặp tình trạng suy giảm miễn dịch hoặc tự ý sử dụng thuốc chứa corticoid - một loại kháng viêm phổ biến, giun lươn có thể bùng phát mạnh mẽ, dẫn đến nhiễm trùng huyết, tổn thương phổi nghiêm trọng và thậm chí gây tử vong.

Con đường xâm nhập của giun lươn thường bắt đầu từ da khi chúng ta tiếp xúc trực tiếp với đất cát mà không mang giày dép. Chúng di chuyển theo dòng máu đến phổi, sau đó lên khí quản và cuối cùng được nuốt xuống để "định cư" tại ruột non, nơi chúng gây ra các tổn thương viêm loét.

Banner rộng Pickt — ứng dụng danh sách mua sắm cộng tác cho Telegram

Giải phẫu bệnh - "trọng tài" quan trọng trong chẩn đoán

Tiến sĩ - bác sĩ Nguyễn Vũ Thiện, công tác tại Khoa Giải phẫu bệnh của Bệnh viện Nhân dân 115, nhấn mạnh rằng giải phẫu bệnh đóng vai trò như một "trọng tài" cuối cùng giúp xác định bản chất thật sự của các tổn thương. Việc quan sát tỉ mỉ từng mẫu mô cho phép các bác sĩ không bỏ sót những nguyên nhân hiếm gặp như ký sinh trùng, từ đó đảm bảo người bệnh được điều trị đúng thuốc, tránh những cuộc đại phẫu không cần thiết hoặc bỏ lỡ cơ hội điều trị kịp thời.

Khuyến cáo quan trọng để bảo vệ sức khỏe

Để phòng ngừa và phát hiện sớm các vấn đề sức khỏe liên quan đến ký sinh trùng và bệnh tiêu hóa, người dân cần lưu ý những điểm sau:

  1. Không chủ quan với triệu chứng: Khi xuất hiện các dấu hiệu như đau thượng vị kéo dài trên hai tuần, sụt cân không rõ nguyên nhân, hoặc rối loạn tiêu hóa dai dẳng, cần đến ngay các cơ sở y tế uy tín để được thăm khám kịp thời.
  2. Tuyệt đối không tự ý dùng thuốc: Tránh tự mua thuốc giảm đau hoặc thuốc kháng viêm, đặc biệt là những loại có chứa corticoid, vì chúng có thể làm tình trạng nhiễm giun lươn trở nên nguy kịch hơn.
  3. Giữ gìn vệ sinh cá nhân: Luôn mang bảo hộ lao động và đi giày dép khi tiếp xúc với đất cát để ngăn ngừa nguy cơ nhiễm ký sinh trùng qua da.
  4. Tuân thủ quy trình điều trị: Khi đi khám bệnh, hãy mang theo đầy đủ các kết quả xét nghiệm và nội soi trước đó để bác sĩ có cái nhìn toàn diện nhất về tình trạng sức khỏe.

Trường hợp này một lần nữa nhấn mạnh tầm quan trọng của việc chẩn đoán chính xác thông qua các phương pháp y học hiện đại, giúp tránh những sai lầm trong điều trị và bảo vệ sức khỏe người bệnh một cách tối ưu.

Banner sau bài viết Pickt — ứng dụng danh sách mua sắm cộng tác với hình minh họa gia đình