Bệnh nhân nghi ung thư dạ dày, bất ngờ phát hiện giun lươn ký sinh
Vừa qua, Khoa Giải phẫu bệnh – Bệnh viện Nhân dân 115 đã tiếp nhận một trường hợp y tế đặc biệt. Một bệnh nhân nữ, 72 tuổi, nhập viện với triệu chứng đau bụng vùng thượng vị kéo dài. Qua quá trình nội soi, các bác sĩ lâm sàng phát hiện vùng hang vị dạ dày bị loét và nhiễm cứng, hình ảnh rất giống với ung thư dạ dày, khiến nhiều người lo ngại.
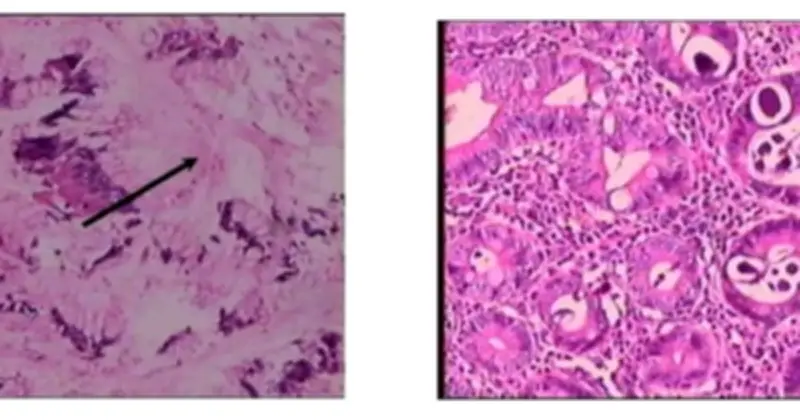
Kết quả bất ngờ từ giải phẫu bệnh
Tuy nhiên, sự thật đã được hé lộ khi mẫu mô sau phẫu thuật được phân tích dưới kính hiển vi. Các bác sĩ Giải phẫu bệnh đã phát hiện "thủ phạm" thực sự gây ra tình trạng trên: Giun lươn (Strongyloides stercoralis) đang ký sinh trong niêm mạc ruột non. Hoàn toàn không có tế bào ung thư như nghi ngờ ban đầu, đây là một phát hiện ngoài dự đoán, cứu bệnh nhân khỏi những can thiệp không cần thiết.
Giun lươn là gì và tại sao lại nguy hiểm?
Giun lươn là một loại giun tròn có khả năng tự nhân lên ngay trong cơ thể người thông qua cơ chế tự nhiễm. Đường lây truyền chủ yếu qua da khi tiếp xúc với đất cát, sau đó theo máu đến phổi, lên khí quản và cuối cùng định cư tại ruột non. Sự nguy hiểm của loại ký sinh trùng này nằm ở khả năng sống âm thầm trong cơ thể hàng chục năm mà không gây triệu chứng rõ rệt.
Tuy nhiên, nếu người bệnh bị suy giảm miễn dịch hoặc tự ý sử dụng thuốc chứa corticoid, giun lươn có thể bùng phát mạnh mẽ. Hậu quả có thể dẫn đến nhiễm trùng huyết, tổn thương phổi nghiêm trọng và thậm chí tử vong nếu không được điều trị kịp thời.
Lời khuyên từ chuyên gia để bảo vệ sức khỏe
Để phòng ngừa và phát hiện sớm nhiễm giun lươn, người dân cần lưu ý những điểm sau:
- Không chủ quan với triệu chứng: Khi có đau thượng vị kéo dài trên 2 tuần, sụt cân không rõ nguyên nhân, hoặc rối loạn tiêu hóa dai dẳng, cần đi khám ngay tại cơ sở y tế uy tín.
- Tránh tự ý dùng thuốc: Tuyệt đối không tự mua thuốc giảm đau, kháng viêm, đặc biệt là thuốc chứa corticoid, vì có thể làm trầm trọng thêm tình trạng nhiễm giun lươn.
- Giữ gìn vệ sinh cá nhân: Mang bảo hộ lao động và đi giày dép khi tiếp xúc với đất cát để giảm nguy cơ lây nhiễm.
- Tuân thủ điều trị và khám bệnh: Khi đi khám, hãy mang theo đầy đủ kết quả xét nghiệm và nội soi cũ để bác sĩ có cái nhìn toàn diện, hỗ trợ chẩn đoán chính xác.
Vai trò quan trọng của giải phẫu bệnh
Giải phẫu bệnh đóng vai trò như một "trọng tài" cuối cùng trong việc xác định bản chất thật sự của các tổn thương. Việc quan sát tỉ mỉ từng mẫu mô giúp không bỏ sót những nguyên nhân hiếm gặp như ký sinh trùng, từ đó đảm bảo người bệnh được điều trị đúng thuốc, tránh những cuộc đại phẫu không cần thiết hoặc bỏ lỡ cơ hội điều trị kịp thời.
Không chỉ trả lời câu hỏi "Có ung thư hay không?". Giải phẫu bệnh còn là chìa khóa mở ra những sự thật thầm lặng, giúp bác sĩ lâm sàng có hướng điều trị mới, bổ sung, và nâng cao chất lượng chăm sóc sức khỏe. Những phát hiện ngoài dự đoán như trường hợp này nhấn mạnh tầm quan trọng của việc kết hợp chẩn đoán lâm sàng với phân tích mô bệnh học để cứu sống bệnh nhân.



