Cảnh báo: Điều hòa không vệ sinh gây viêm phổi nặng do vi khuẩn Legionella
Mới đây, Khoa Hồi sức tích cực của Bệnh viện Thái Châu tại Chiết Giang, Trung Quốc đã tiếp nhận một trường hợp bệnh nhân nam 70 tuổi bị viêm phổi nặng do nhiễm vi khuẩn Legionella. Nguyên nhân được xác định có liên quan trực tiếp đến việc sử dụng điều hòa trong thời gian dài mà không được vệ sinh định kỳ. Bệnh nhân này có tiền sử cao huyết áp và tiểu đường nhiều năm, làm suy yếu hệ miễn dịch.
Diễn biến nhanh chóng và nguy hiểm
Vào giữa tháng 1, bệnh nhân được chuyển khẩn cấp đến bệnh viện với các triệu chứng sốt cao lên đến 40,5 độ C, kèm theo tức ngực kéo dài một tuần và trở nặng chỉ trong một ngày. Theo người nhà, khi mới phát bệnh, ông còn có biểu hiện rét run, ho có đờm lẫn máu và tiêu chảy dạng nước. Các triệu chứng ban đầu rất giống với một đợt cảm cúm nặng, khiến việc tự điều trị bằng thuốc hạ sốt ibuprofen chỉ mang lại hiệu quả tạm thời.
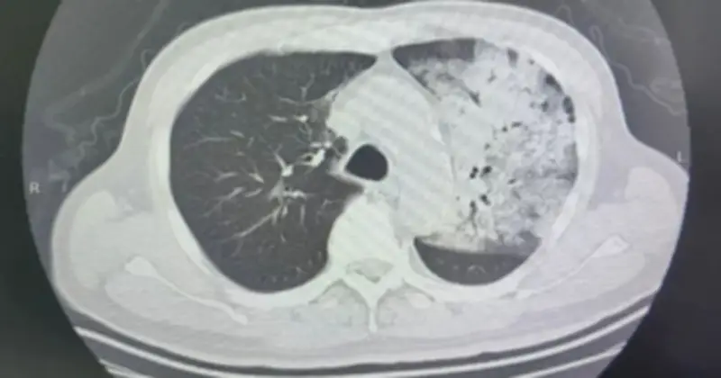
Sau khoảng một tuần điều trị tại bệnh viện địa phương, tình trạng bệnh nhân đột ngột xấu đi với khó thở và rối loạn ý thức. Kết quả chụp CT cho thấy hai phổi bị nhiễm trùng nặng, gần như "trắng xóa". Dù đã được hỗ trợ thở máy, tình trạng oxy máu vẫn không cải thiện, buộc các bác sĩ phải can thiệp bằng ECMO để tạm thời ổn định dấu hiệu sinh tồn.
Vi khuẩn Legionella - "sát thủ vô hình" trong điều hòa
Bác sĩ Thôi Khả, Trưởng khoa Hồi sức tích cực, cho biết quá trình diễn tiến bệnh ở bệnh nhân rất nhanh, chỉ trong 3-4 ngày từ khi khởi phát đã dẫn đến suy đa cơ quan. Sau khi tiến hành giải trình tự gen metagenome từ dịch rửa phế nang, các bác sĩ xác định bệnh nhân mắc viêm phổi do vi khuẩn Legionella pneumophila.
Khi khai thác thêm tiền sử sinh hoạt, gia đình cho biết điều hòa trong nhà lâu ngày không được vệ sinh, đồng thời bệnh nhân có thói quen đóng kín cửa và bật điều hòa trong thời gian dài. Theo bác sĩ, đây chính là nguồn lây nhiễm tiềm ẩn, vì vi khuẩn Legionella ưa môi trường ấm và ẩm, thường trú ngụ trong nước làm mát của điều hòa, vòi sen hoặc hệ thống nước nhân tạo.
Tỷ lệ tử vong cao và cách phòng tránh
Theo các chuyên gia, Legionella là loại vi khuẩn tồn tại rộng rãi trong nguồn nước ngọt tự nhiên và có thể gây viêm phổi tiến triển nhanh. Thống kê cho thấy:
- Khoảng 44% bệnh nhân viêm phổi do Legionella phải điều trị tại khoa hồi sức tích cực.
- Tỷ lệ tử vong khoảng 10-15%, có thể lên tới 25-50% trong trường hợp nhiễm bệnh tại bệnh viện.
Bệnh nhân trong trường hợp này đã trải qua hơn 20 ngày điều trị tích cực, kết hợp ECMO và kháng sinh đặc hiệu, mới có thể cai máy thở và dần hồi phục. Các bác sĩ cảnh báo triệu chứng ban đầu dễ nhầm với cảm cúm, bao gồm:
- Thể nhẹ (sốt Pontiac): sốt, đau đầu, đau cơ, thường tự khỏi sau 3-5 ngày.
- Thể nặng (bệnh Legionnaires): sốt cao 39-40,5 độ C, rét run, ho khan, khó thở, đau ngực, đờm lẫn máu, buồn nôn, tiêu chảy, rối loạn ý thức.
Để phòng tránh bệnh, các chuyên gia khuyến cáo:
- Vệ sinh điều hòa định kỳ, đặc biệt là lưới lọc và dàn tản nhiệt.
- Sử dụng dung dịch khử khuẩn chuyên dụng hoặc nhờ kỹ thuật viên bảo dưỡng.
- Mở cửa thông gió khi bật điều hòa lần đầu sau thời gian dài không sử dụng.
- Trong quá trình sử dụng, nên mở cửa sổ vài giờ một lần để trao đổi không khí.
- Người cao tuổi, bệnh nhân mắc bệnh mạn tính hoặc có hệ miễn dịch suy yếu nên tránh ở trong phòng điều hòa kín quá lâu.
Nếu xuất hiện các triệu chứng như sốt cao, ho, tiêu chảy và không đáp ứng với kháng sinh thông thường, cần đi khám sớm để chẩn đoán thông qua xét nghiệm kháng nguyên trong nước tiểu, nuôi cấy đờm hoặc dịch rửa phế nang. Việc điều trị kịp thời bằng kháng sinh đặc hiệu có thể giảm đáng kể nguy cơ tử vong.



